[Mắt] Mymelos - Mắt, mũi
<Sau>
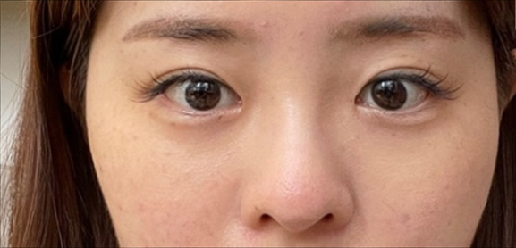
<Trước>
Sau khi phẫu thuật mắt và mũi, ánh nhìn của mọi người đã thay đổi ㅠㅠ
Trước khi phẫu thuật, ấn tượng của mình hơi tròn trịa và không phải là khuôn mặt thẩm mỹ mà mình theo đuổi,
mỗi khi nhìn vào gương, mình lại có suy nghĩ mạnh mẽ muốn thay đổi ㅠㅠ
Xung quanh cũng có rất nhiều người hay can thiệp, hễ làm gì cũng có những người nói "chắc cũng ổn thôi" nên
mình đã rất căng thẳng và muốn phẫu thuật, nhưng sau khi phẫu thuật, ánh nhìn xung quanh đã thay đổi rất nhiều và khuôn mặt trông cũng thanh tú hơn nên mình rất hài lòng..ㅎㅎ
Tiện thể thì mắt là phẫu thuật lại còn mũi là phẫu thuật lần đầu.
Trước khi phẫu thuật, mình nghĩ rằng vì khuôn mặt gốc của mình như thế này nên chắc sẽ không thay đổi nhiều đâu, nhưng bỏ qua khuôn mặt gốc,
mình nghĩ rằng việc nắm bắt đúng nhu cầu và thực hiện tại một bệnh viện có tay nghề cao cũng là một yếu tố quan trọng để thành công ㅎㅎ
Mình đã nói rằng mình muốn trở nên xinh đẹp một cách tự nhiên và họ đã làm rất tốt một cách hoàn toàn tự nhiên!
Có vẻ như giá hơi cao một chút, nhưng mình vẫn rất vui vì đã phẫu thuật ở một nơi nổi tiếng và làm tốt
và đã thành côngㅎㅎ
<Trước>
Sau khi phẫu thuật mắt và mũi, ánh nhìn của mọi người đã thay đổi ㅠㅠ
Trước khi phẫu thuật, ấn tượng của mình hơi tròn trịa và không phải là khuôn mặt thẩm mỹ mà mình theo đuổi,
mỗi khi nhìn vào gương, mình lại có suy nghĩ mạnh mẽ muốn thay đổi ㅠㅠ
Xung quanh cũng có rất nhiều người hay can thiệp, hễ làm gì cũng có những người nói "chắc cũng ổn thôi" nên
mình đã rất căng thẳng và muốn phẫu thuật, nhưng sau khi phẫu thuật, ánh nhìn xung quanh đã thay đổi rất nhiều và khuôn mặt trông cũng thanh tú hơn nên mình rất hài lòng..ㅎㅎ
Tiện thể thì mắt là phẫu thuật lại còn mũi là phẫu thuật lần đầu.
Trước khi phẫu thuật, mình nghĩ rằng vì khuôn mặt gốc của mình như thế này nên chắc sẽ không thay đổi nhiều đâu, nhưng bỏ qua khuôn mặt gốc,
mình nghĩ rằng việc nắm bắt đúng nhu cầu và thực hiện tại một bệnh viện có tay nghề cao cũng là một yếu tố quan trọng để thành công ㅎㅎ
Mình đã nói rằng mình muốn trở nên xinh đẹp một cách tự nhiên và họ đã làm rất tốt một cách hoàn toàn tự nhiên!
Có vẻ như giá hơi cao một chút, nhưng mình vẫn rất vui vì đã phẫu thuật ở một nơi nổi tiếng và làm tốt
và đã thành côngㅎㅎ