★★★★★ 5.0

Trước khi phẫu thuật, mắt mình trông lờ đờ và dữ dằn nên mình đã quyết định cắt mí và tiến hành phẫu thuật vào đúng kỳ nghỉ hè!

| | 138
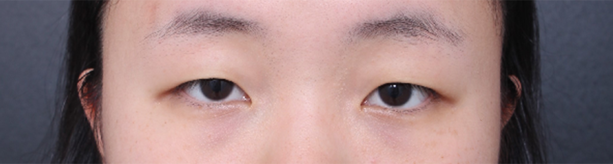
Trước khi phẫu thuật, mắt mình trông lờ đờ và dữ dằn nên mình đã quyết tâm làm mắt hai mí và tiến hành phẫu thuật vào đúng dịp nghỉ hè! Mình đã phẫu thuật tại Thẩm mỹ viện Very Good Gangnam vào ngày 19 tháng 7 do Viện trưởng Lim Young-min thực hiện. Vì đây là lần đầu tiên phẫu thuật mắt nên mình đã thực hiện phương pháp nhấn mí tự nhiên không cắt rạch, dáng mắt in-out! Do kích thước hai mắt khác nhau nên nếp mí bị lệch, vì vậy mình cũng đã thực hiện thêm cả mở rộng góc mắt trong! Trước khi đến mình chưa quyết định gì cả, nhưng sau khi cùng bác sĩ tạo nếp mí thử thì mình đã quyết định được phương pháp và cách thực hiện :) Bác sĩ tư vấn rất tận tình, mình hỏi gì cũng được giải đáp kỹ càng nên mình rất biết ơn. Sau phẫu thuật, bệnh viện còn tặng túi chườm mắt nên mình đã sử dụng rất hiệu quả tại nhà~! Tình trạng sưng của mình giảm khá nhanh và mọi người xung quanh ai cũng khen mình làm mắt đẹp hihi. Bản thân mình cũng hoàn toàn hài lòng. -Đây là đánh giá do bạn Ppuchong Ppasyong Pichong, người đã phẫu thuật tại bệnh viện mình, trực tiếp đăng tải trên Gangnam Unni-