REBEAUTY K-Beauty

Tìm kiếm
Đăng nhập Đăng ký
  • Phòng khám
    Danh mục
    • Xem tất cả
    • Phẫu thuật thẩm mỹ
    • Da liễu
    • Nhãn khoa
    • Nha khoa
    Thủ thuật phổ biến
    • Phẫu thuật thẩm mỹ mắt
    • Hút mỡ
    • Nâng mũi
    • Đường nét khuôn mặt
    • Nâng ngực
  • Phẫu thuật thẩm mỹ
  • Da liễu
  • Nhãn khoa
  • Nha khoa
  • Đánh giá REAL
  • Trước/Sau
  • YouTube
  • Tạp chí NEW
  • Sự kiện HOT
  • Thẩm mỹ ảo AI
REBEAUTY K-Beauty
Đăng nhập Đăng ký mới
Mô phỏng thẩm mỹ
Trải nghiệm thẩm mỹ
Phòng khám
Tất cả Phẫu thuật thẩm mỹ Da liễu Nhãn khoa Nha khoa
Nội dung
Đánh giá T/S YouTube Tạp chí Sự kiện
Hỗ trợ
Câu hỏi thường gặp Thông báo Liên hệ
Đăng nhập MXH
  1. Trang chủ
  2. Trước/Sau
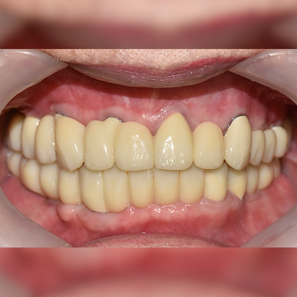
  3. Trường hợp 03: Ông Kim*Han, 60 tuổi, 04/05/2018 / 18/03/2019
Nha khoa One Day
Toàn hàm / Toàn bộ / Ghép xương

Trường hợp 03: Ông Kim*Han, 60 tuổi, 04/05/2018 / 18/03/2019

2026.02.15 | 110
After After
Before Before
Drag to compare
Before Before
After After
Before Before
After After
Thông tin phòng khám
Nha khoa One Day Xem chi tiết
Quay lại danh sách
REBEAUTY K-Beauty
  • Công ty: Công ty cổ phần Beauty Again
  • Mã số DN: 706-88-03573
  • Địa chỉ: 55 Đường Digital-ro 34-gil, Quận Guro, Thành phố Seoul, Tòa nhà Kolon Science Valley 2, Phòng B201-161-7 (08378)
  • Điện thoại: +82-10-7213-3785
  • Email: cs@rebeauty.co.kr
  • Giờ làm việc: Ngày thường 09:00 - 18:00 (giờ Hàn Quốc)
Dịch vụ khách hàng
  • Thông báo
  • Câu hỏi thường gặp
  • Hỗ trợ
  • Liên hệ
  • Điều khoản
  • Chính sách bảo mật
Theo dõi
Bản tin

Nhận thông tin K-Beauty.

© 2026 REBEAUTY K-Beauty. All rights reserved.

Hỗ trợ tiếng Việt Đặt lịch an toàn Phòng khám chọn lọc
Đang xem:
Trang chủ Tìm kiếm Trải nghiệm thẩm mỹ Yêu thích Tin nhắn Tôi
Phổ biến
Phẫu thuật Da liễu Nha khoa Botox Filler